Case 1 – Composite Buildup
This pretty lady had a peg-shaped second incisor tooth.
This misshapen tooth was built up using a special type of white filling material that blended in with her own tooth. No injections, no drilling, no pain.
Case 2 – Composite Buildup
This gentleman had extensive wear of his teeth as a result of a mixture of acid erosion and grinding.
Again, using a white filling material, we built up his teeth without the need to carry out any drilling of his already worn teeth.
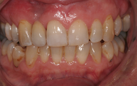
Case 3 – Crowns
This lady had worn down her teeth and was unhappy with her poorly fitting front two crowns. Their poor fit was causing an angry red reaction on the gums.
The front six teeth were crowned to restore her appearance and allowed the gum to settle back to full health.
Case 4 – Crowns
The margins where the crown meets the gum of this lady’s front crowns were black as a result of the gums shrinking back.
The front five crowns on the top teeth were replaced with well fitting margins. This also allowed us to straighten up the appearance of the teeth.
Case 5 – Implants
This lady had two of her back teeth missing.
Two implants were placed to replace these missing teeth.
Case 6 – Implants
This gentleman lost his front tooth when the root split.
An implant was placed to replace the missing root and a crown fixed into the implant.
Case 7 – Implants
This young lady was sent to us by her own dental practitioner following a horrific fall that caused her to lose her two front teeth. The crowns that had replaced them were crumbling and there was a large amount of infection underneath them.
Two implants were placed and crowns fixed onto the implants creating a natural looking, infection-free smile.
Case 8 – Veneers
This lady was unhappy with her discoloured and misshapen teeth.
Veneers were used to give this patient the smile she wanted.
Case 9 – Resin Retained Bridge
This young mother of two had an old post crown extracted as seen here. Unfortunately, due to a lack of bone in this area, an implant was not an option for this patient.
Instead, we made her a very clever ‘stick on bridge’, more formally known as a resin retained bridge.
Here you can see the bridge glued in place.
Creating a natural looking appearance. Imperceptible from a real tooth.
Case 10 – Invisalign




Case 11 – Invisalign




Case 12 – Invisalign


Case 13 – Invisalign


Case 14 – Invisalign


Case 15 – Prosthetics




