<h1>FREE dental implant consultations in Reading</h1><h2>Book your dental implant consultation today</h2>

FREE dental implant consultations in Reading

Book your dental implant consultation today

  • Premium quality<br>dental implants

    Premium quality
    dental implants

  • FREE consultations with a<br>treatment co-ordinator

    FREE consultations with a
    treatment co-ordinator

  • Experienced<br> implant dentist

    Experienced
    implant dentist

Take advantage of our dental implant offer

Don’t miss your chance for a FREE dental implant consultation with our treatment coordinator - book today!

  • Exceptional implant dentist with many years of experience
  • Premium quality dental implants for incredible results

Benefits of dental implants

Dental implants truly are the next best thing to natural teeth. Not only do they restore your smile, but they can also help you eat and speak with confidence once more.

  • Look, feel and function like natural teeth
  • Confidence to eat and chew whatever you choose
  • Easy to clean and care for
  • Supports and preserves your facial structure
  • Improves your speech

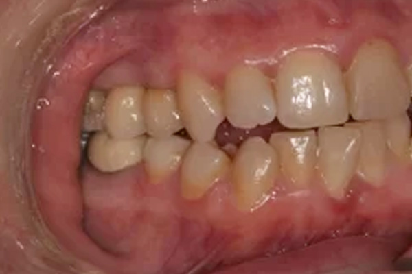
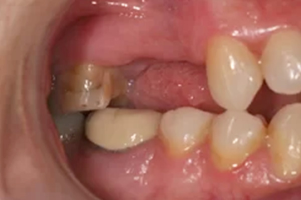
Before & after treatment

  • Before
    Before
  • After
    After

Frequently asked questions

  • What are dental implants?

    A dental implant is a replacement for the root or roots of a tooth. Like tooth roots, dental implants are secured in the jawbone and are not visible once surgically placed. The implant is then used to support a new tooth (crowns) or teeth (bridge/denture).
  • Why should I choose dental implants?

    There are other options available for teeth replacement, including bridges and dentures. However, neither of these offers the same strength, durability, and aesthetic appeal as teeth implants. By fusing to the jawbone, implants create the next best thing to a natural tooth root, removing any potential eating or speech issues.
  • Am I suitable for dental implant treatment?

    Most people are suitable candidates for a tooth implant if they are generally healthy and in good oral health. We will thoroughly discuss your overall suitability for implant treatment at your initial consultation.
  • Are dental implants safe?

    The implants we use at this practice are manufactured by a British / Swiss implant company with decades of research and development behind them. They are made of a lightweight biocompatible material in strictly sterile conditions. Dental implants were first placed 1967 so we have nearly 50 years of research to show they are safe.
  • How long does the dental implant treatment process take?

    The whole process, from consultation with the treatment coordinator to your secure fixed replacement teeth, can take several months. The implant surgery is a relatively quick procedure, but the implants themselves need around 3-6 months to heal and fuse before fixed permanent teeth can be placed. The treatment process will be longer if you need a bone graft or other procedure first, but your new smile will be more than worth it in the end.
  • How long do dental implants last?

    Statistics show dental implants last on average 10-15 years, making them the ideal treatment for teeth replacement. However, they can last much longer provided they are surgically placed correctly and accurately, and looked after properly. This includes maintaining an excellent brushing and flossing routine, looking after your general health, and attending regular check-up appointments with your dentist. The crown or bridge that the implant supports may need to be replaced over time due to normal wear and tear.

Why choose us?

At Wood Lane Dentistry, we use premium quality Neoss and Straumann implants and modern dentistry techniques to achieve incredible results. We have won numerous national awards for our high standards of care. There are no hidden fees or costs and we pride ourselves on being completely transparent with our pricing.

  • Highly trained and qualified team
  • Successfully placing dental implants since 2007
  • Teaching hub to help other dentists with placing and maintaining implants
  • State-of-the-art equipment to ensure your comfort throughout implant treatment
  • Over 150 5* Google reviews
  • Margaret Thomas

    Absolutely the best Dental practice around, and Jess has such a lovely reassuringly manner along with her dental expertise.

  • Serafim Kalliadasis

    I’ve been going to Wood Lane dentistry for many years now. The reception staff are friendly and welcoming, the lounge area exudes a warm and welcoming atmosphere, and the dentists and hygienists are approachable and kind, and at the same time extremely professional and knowledgeable. I will continue attending the Dentistry for years to come.

Meet our dentist

Dr Vikram Chugani

BDS MFDS RCSED MSC

GDC: 75978

Vik has been placing implants for many years and is a highly experienced dental surgeon. He is a lecturer on implants and is a mentor for other dentists who place implants. He is also a member of the International Team of Implantologists (ITI).

Vik qualified at the ‘end of the last century’ from the University of Wales College of Medicine in Cardiff and then went on to work in several specialist hospital units until he joined Wood Lane Dentistry on a part time basis in December 2002. He then completed his higher-level training with an MSc from the prestigious Eastman Dental Institute.

Since then, he has committed himself full time to the practice and combined seeing some general practice patients alongside his more complex work. Vik took over running the practice in December 2010 and proceeded to put his own personal stamp on an already well-established community practice.

Vik is former chairman and current committee member of the local BDA committee responsible for providing postgraduate education for dentists in the Berkshire and Oxfordshire area.

He is a member of both the ITI (International team of implantologists) and also the British Society of Endodontology.

Dr Vikram Chugani

Opening times

  • Monday: 8:30am - 5:30pm
  • Tuesday: 8:30am - 5:30pm
  • Wednesday: 8:30am - 5:30pm
  • Thursday: 8:30am - 8:00pm
  • Friday: 8:00am - 4:30pm
  • Saturday: 8.30am – 1.00pm (Alternate Saturdays)
  • Sunday: Closed

Free car park available behind the practice.
Access to the practice is suitable for wheelchair users.